
【手術失誤】高齡人妻多次備孕失敗 下腹不明原因劇痛 就醫驚揭20年前墮胎手術異物藏體內
 Photo from  MamiDaily
Photo from  MamiDaily
高齡人妻多次備孕失敗 下腹劇痛
根據媒體《The Sun》報道,英國威爾斯一名39歲的婦女已經備孕2年,但肚皮仍然毫無動靜。期間,她偶爾出現盆腔疼痛的徵狀,就醫後被診斷為腸易激綜合症(IBS),須接受藥物治療。由於一直無法懷孕,因此女子求助了婦產科,結果醫生發現其子宮雖然存在囊腫,但排卵功能卻並未受到影響,因此轉介她到另一家治療不孕症的診所進行檢查,看看是否適合進行人工受孕療程。
 Photo from  MamiDaily
Photo from  MamiDaily
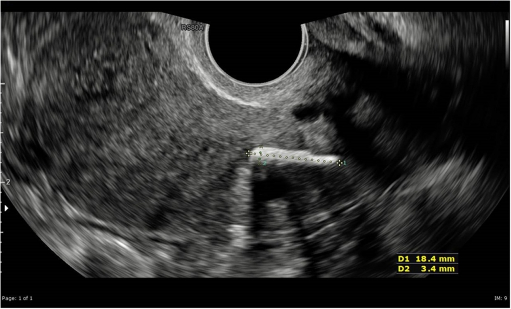
子宮頸發現長條狀異物
不過該女子和丈夫過去曾是煙民,因此被診所要求戒煙後一年再進行生育治療評估。一年後,女子如期到診所覆診,但卻訴說自己左下腹部出現明顯的慢性疼痛,嚴重的經痛更是折磨著她。醫生察覺不妙,馬上為女子進行超聲波檢查,看看是否罹患多囊性卵巢症(PCOS)或是輸卵管阻塞等疾病,然而他們始終無法發現導致疼痛的異常。最後,在進行腹腔鏡檢查和著色試驗時,醫護人員終於在女子的子宮頸組織中發現一小塊幾毫米長的條狀異物。

20年前墮胎手術殘留胎兒骨頭
異物被取出化驗後,證實是一片嬰兒骨頭碎片,才知曉原來女子在20年前曾經進行流產手術,相信是當時胚胎組織未被完全清除乾淨所致。醫生表示,胚胎殘骸可導致月經不調,甚至不孕症,也有可能導致其他併發症,不可忽視。然而由於碎片不大,醫生相信這也是過去超聲波及CT檢查無法檢測出的原因,造成女子一直被誤診,而女子此後能否順利懷孕依舊未知。
延伸閱讀:
延伸閱讀:
Text:Mami Editorial







