
【新冠肺炎】15歲少女染疫後行為倒退至4、5歲 醫生:病毒攻擊了她的大腦,似乎也改變了她的性格
Photo from NBC News
綜合外媒報道,倫敦15歲少女Nia Haughton今年4月時持續咳嗽和發燒超過一周,被送到醫院後確診新冠肺炎。其後,她因病情惡化而住進加護病房,當時更必須使用呼吸器。
兩周後,她的病況逐漸好轉,終於能自己呼吸,似乎已戰勝新冠病毒。但轉至普通病房幾天後,其病情卻再度惡化,而被送回加護病房;這次受影響的是她的大腦而非肺部,她開始經常產生幻覺、聲音和行為退化至像4、5歲的小朋友。
Photo from NBC News
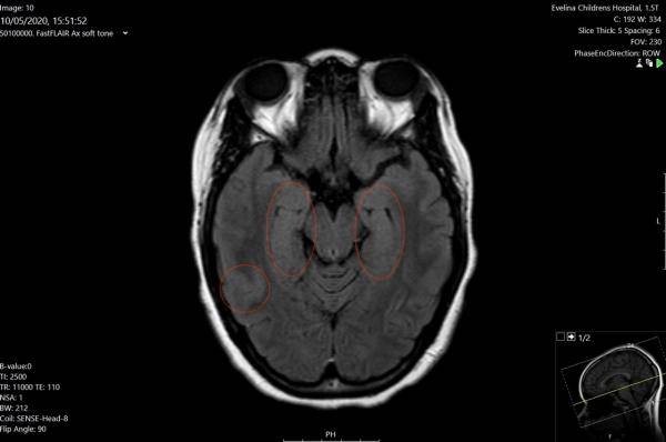
醫生認為這是妮雅的大腦發炎導致,病毒攻擊了妮雅的大腦,似乎也改變了她的性格。她被診斷出患有腦炎,會導致幻覺、癲癇,語言、聽力和記憶力產生問題等併發症。
Photo from NBC News
Nia媽媽形容女兒的狀況: 「好不容易除掉呼吸器後,她的性格卻完全變了,她不會數數,表情也和以往不同了,看起來就像是個4、5歲的孩子。」Nia表示現在搞不清甚麼是真實,偶然還會出現幻覺,聽到一些聲音,連說話都有困難。Nia的情況是一個警號,新冠病毒可能對兒童及青少年發育中的大腦造成潛在損害。
Text: Mami Editorial




