
印度8歲女童食未煮熟豬肉或不潔蔬果 腦內有逾百絛寄生蟲卵 病從口入 傷害中樞神經系統 蟲卵上腦
印度有一位8歲女童Trushika,突然出現到嚴重頭痛和癲癇症狀,情況長達6個月。
父母見狀把她送院檢查,治療初期醫生認為女童腦內的囊腫,是腦囊腫。醫生便處方類固醇,然而無效,體重由88磅飆升至132磅,上升了20公斤。其後,她受藥物影響更出現呼吸困難、不良於行,持續頭痛和癲癇發作,幾乎陷入昏迷。
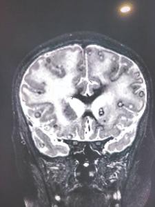
醫生決定為她再次進行腦掃瞄,才發現她是患上腦囊蟲病(Neurocysticercosis),腦部竟然有100顆絛蟲(Tapeworm)的蟲卵,處方解充血藥(decongestants)、類固醇和驅蟲劑,逐漸康復,可再次走路和上學。


神經內科醫生Dr Praveen Gupya 稱,腦囊蟲病是從不潔的食物,例如未有清洗好的水果或蔬菜、未經煮熟的豬肉中感染。絛蟲進入胃部再走上腦部產卵。此病影響中樞神經系統,可引起嚴重頭痛、癲癇發作及神志不清。


Text: Mami Editorial
Photo Source & Source:India Toda、每日郵報




