
【誤吞異物】1歲B女喊唔停兼咳出血即送院檢查 電腦掃描驚見食道有隻「Peppa Pig」?!
Photo from MamiDaily
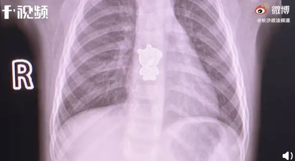
根據內地媒體《新浪新聞》報導,中國湖南長沙一名一歲女童早上起床後開始不斷哭鬧,咳嗽亦帶有血絲,家屬見狀趕緊送她到醫院。經檢查後,醫生在電腦斷層掃描(CT Scan)結果發現,女孩食道中下段有一個金屬「Peppa Pig」陰影。幸好進行手術後,該隻「Peppa Pig」已被順利取出。
Photo from 《新浪新聞》
女童母親表示,女兒的鞋子上有一個「Peppa Pig」裝飾,猜想是小朋友好奇拆了下來,拿在手裏玩,「本身裝飾不太牢固,小孩子看到可能好玩,就把它拆下來了。一開始是拿在手上玩,不知道怎麼搞的,她就塞到嘴巴裏去了。」父母一個不留神,就發生意外。
兒科醫生提醒,異物卡在喉嚨容易引起吞嚥困難及呼吸困難,家長要多加留意,若不及時處理,可能會令局部或附近的器官受到感染,引發食管膿腫及食管穿孔等症狀,可能繼發大出血、術後感染及休克等風險。
Photo from 《新浪新聞》
嬰幼兒常常透過將物件放入口中的方式來學習、探索周遭,這也是為甚麼大多數吞入異物的患者都小於3歲。容易釀成小朋友誤吞的物品包括散銀、鈕型鹼性電池、鈕扣、彈珠、小石頭、螺絲釘、別針等任何能放入口中的東西。父母們記緊要收好以上或同類型細碎物件,確保小朋友的活動範圍沒有潛在危險。
Text: Mami Editorial
Source: 《新浪新聞》



