
【誤吞異物】4歲兒一原因誤吞硬幣 爸爸急救無效 需全麻手術 8小時才取出
兒童誤吞異物的情況經常發生,輕則能夠自行順利排出,重則可能需要手術!台灣歌手羅文裕在社交平台發文,分享4歲兒子硬幣哽喉的驚魂記,最終需要全身麻醉通過手術取出硬幣,整個救治過程歷經8小時,讓夫妻心疼不已!以下就教路家長在遇到小朋友哽喉時應該如何急救!
Photo from 翻攝自羅文裕FB
誤吞異物|4歲兒子睡夢中哽喉
羅文裕為台灣金曲客語歌王,和太太育有7歲和4歲的兒子。他在貼文中提到,小兒子在午睡約30分鐘後突然驚醒,並且狂哭喊:「有錢錢卡在喉嚨很痛!」他見狀趕快實施急救,當下抓起兒子頭朝下拍背,並試著用手指探喉嚨,然而小兒子非常抗拒,依舊喊痛。不見有硬幣掉出來,他當機立斷帶著兒子趕往急診室。
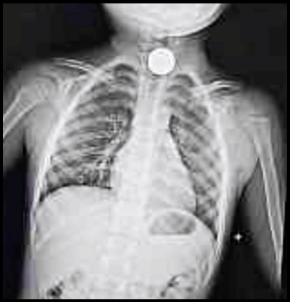
他續指,抵達醫院接受檢查時,兒子可能過於緊張而吐了一地,當時他心想:「也沒有吐出東西啊?應該就沒事吧!」直到X光結果出來,他才看見真的有硬幣卡在兒子喉嚨,醫生即刻建議他們轉診大醫院接受治療。
Photo from 翻攝自羅文裕FB
誤吞異物|經過8小時 手術取硬幣
由於異物哽喉存在呼吸道堵塞風險,醫院安排救護車護送他們到大醫院就診。抵達大醫院後,醫生為兒子抽血、進行內視鏡檢查,最終確定需要全身麻醉用儀器取出硬幣。期間聽著兒子的哀嚎,夫妻只能默默流淚。最終,整個急救過程用時8小時,才順利取出卡在喉嚨的硬幣。
危機解除後,羅爸爸才有時間覆盤意外經過,尤其是:「為何四歲多的孩子仍會有此舉動?何時放入嘴巴大人完全不知情?」經瞭解,原來當時兒子睡前突然想吃奶咀,因此不知哪裡取得硬幣含在嘴裡入睡,才會導致意外發生。羅爸爸慶幸兒子最終平安無事,也提醒家長要將硬幣、鈕扣、電池等危險物平存放在兒童不易取得的地方,此外也要特別留意玩具中的巴克球磁鐵珠玩具,以免掉落後被兒童誤吞。
Photo from 翻攝自羅文裕FB
誤吞異物|四大症狀
根據本港醫務衛生局資訊,異物哽喉可引致氣道受阻,造成窒息,當發現兒童出現四大症狀,應該立即施行急救:
-呼吸異常困難、發出雜聲
-無法出聲說話、咳嗽軟弱無力
-用手抓著頸部,表露幸苦表情
-頸部靜脈充血凸顯,口部和嘴唇呈紫藍色
誤吞異物|處理兒童哽塞方法
步驟一:如果孩子清醒,可鼓勵他嘗試咳出異物,然後張開口部檢查,並嘗試取出口腔內鬆脫的異物。
步驟二:如不成功,可讓孩子向前彎,使頭部低於肺部,用掌根拍打其背部(肩胛骨之間)五次,以協助他咳出阻塞物。
步驟三:完成後,立刻檢查口腔,看看異物是否已鬆脫。假如異物仍哽塞氣道,可轉用環抱推腹法,站在孩子背後,一手握拳,虎口向內,並放於他腹部肚臍之上;另一隻手則握住該拳,並迅速向內及向上擠壓孩子腹部五次。
步驟四:完成後,立即檢查口腔,把已咳出的異物除去。如不成功,可重覆步驟二及三, 直至異物咳出為止。
步驟五:假如孩子不省人事及心肺功能停頓,應立即施行心肺復蘇法,並從速召援,將孩子送院治理。
步驟六:當阻塞物被取出,而孩子的呼吸又恢復正常,則可把他置於復原臥式,並安排入院治療。
Photo from MamiDaily
延伸閱讀:




