
【牙齒健康】乳牙未掉光就剝智慧齒 9歲男童破健力士世界紀錄! 5情況智慧齒不宜留
Photo from 翻攝自健力士世界紀錄網頁
9歲男童成為最年輕剝智慧齒人士
健力士世界紀錄網頁近日公布最新資訊,顯示美國的男童Ryan Scarpelli以9歲又327天的年齡打破紀錄,正式成為全球最年輕的剝智慧齒人士!此前的紀錄保持者還是20年前,同樣來自美國的9歲男童Matthew Adams,當時他以9歲339天的紀錄登頂。
Photo from 攝自健力士世界紀錄網頁
醫生發現智慧齒蹤跡
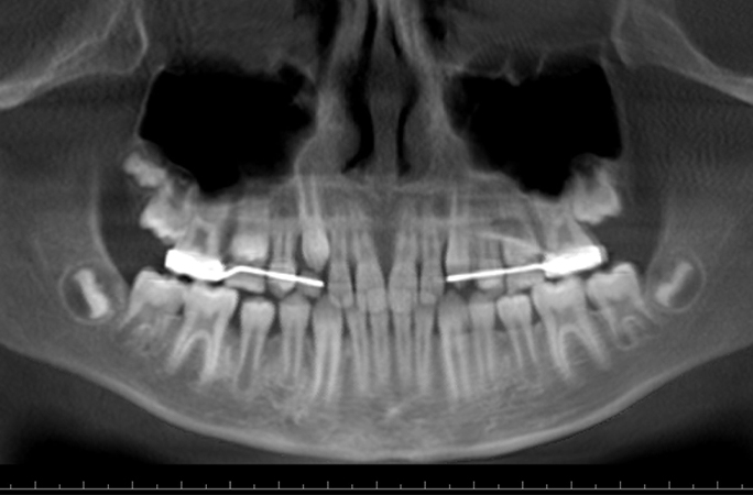
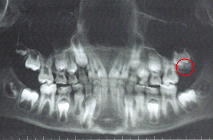
去年4月,Ryan到診所進行牙齒矯正檢查,主治醫生Kelly博士通過X光片驚訝發現,Ryan的左上排長出了智慧齒,更與臼齒疊在一起。一般而言,人們會在17至25歲才長出智慧齒,也是最後才生長出的第三大臼齒。Ryan的情況無疑是需要提早剝掉智慧齒,才能讓臼齒有生長空間。對此他也感到震驚,並表示自己根本對智慧齒的存在毫無感覺。
Photo from 攝自健力士世界紀錄網頁
成功通過手術拔除
同年7月份,Ryan在乳齒還未完全脫落的情況下,進行了剝智慧齒手術,此時他和家人還未意識到自己即將打破健力士世界紀錄。早前並未對智慧齒有任何感覺的Ryan終於在手術中感覺到疼痛,他形容「好像被人打了一拳」,手術後吃了好幾天的流質食物才恢復正常飲食。手術後Ryan的母親才驚覺兒子成為最新的紀錄持有人,並感謝主治醫生及早發現病徵,避免了後續可能引發的其他併發症。Ryan對於殊榮也感到高興:「感覺真的很好,我很驕傲。」
Photo from 攝自健力士世界紀錄網頁
5情況需考慮拔除智慧齒
根據衛生署資訊,智慧齒若未能順利長出,就會形成「阻生智慧齒」,若反覆引起口腔不適或嚴重問題,應考慮拔除,其中情況包括:
-覆蓋智慧齒的牙齦經常發炎,引致復發性「智慧齒冠周炎」;
-曾患嚴重「智慧齒冠周炎」;
-智慧齒嚴重蛀壞、有牙周病、牙髓炎或牙根尖周圍有病徵出現;
-「阻生智慧齒」引致鄰牙的牙根萎縮;
-包裹智慧齒的牙囊腫脹並可能破壞頜骨組織。(如發現這些徵狀,必須把腫囊及「阻生智慧齒」一併除去。)
Photo from MamiDaily
延伸閱讀:
延伸閱讀:
Text:Mami Editorial
Source:健力士世界紀錄網頁、衛生署網頁




